Paciente de Covid recebe transplante do pulmão de doadores vivos
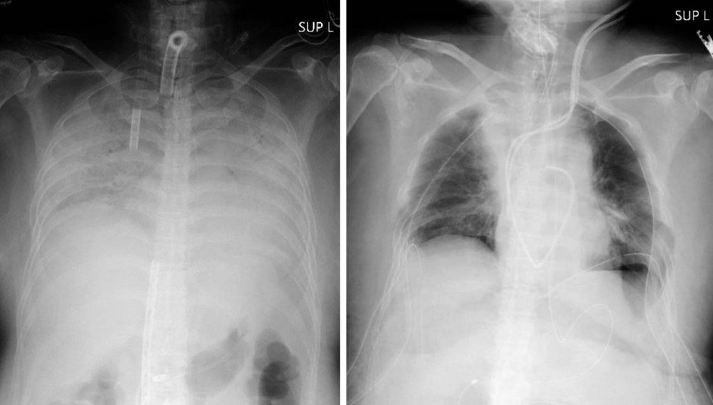
Médicos do Japão realizaram o primeiro transplante de pulmão de doadores vivos do mundo, para salvar uma paciente que sofreu graves lesões pulmonares após infecção pelo novo coronavírus. A cirurgia foi feita na quarta-feira (7/4).
Segundo o jornal Daily Mail, a paciente passou os últimos três meses respirando por uma máquina de suporte de vida que funciona como um pulmão artificial. Os médicos avaliaram que, mesmo depois de ela se recuperar da Covid-19, seus pulmões não eram mais funcionais ou tratáveis, sendo o transplante a única opção.
O procedimento foi realizado no Hospital Universitário de Kyoto, com duração de cerca de 11 horas, por uma equipe médica composta por 30 profissionais liderados pelo cirurgião torácico Hiroshi Date.
A paciente japonesa recebeu parte do tecido saudável do pulmão esquerdo do marido e do pulmão direito do filho para substituir os que haviam sido prejudicados pela infecção. Os três se recuperam bem. A mulher deve receber alta hospitalar dentro dos próximos dois meses.
Ela foi diagnosticada com Covid-19 no fim de 2020 e desenvolveu dificuldades respiratórias que pioraram rapidamente, comprometendo o funcionamento dos pulmões.
“Demonstramos que agora temos a opção. É um tratamento que dá esperança para os pacientes”, disse o cirurgião Hiroshi Date.
Dezenas de transplantes de partes de pulmões retirados de doadores com morte cerebral já foram realizados nos Estados Unidos, na Europa e na China, mas ainda são raros no Japão.
*Redação
*Foto:Reprodução/Hospital Universitário de Kyoto
